Protetika Sarajevo - krunice, mostovi i proteze za savršen osmijeh i potpunu funkciju zuba
Gubitak jednog ili više zuba utiče ne samo na vaš osmijeh, već i na svakodnevne funkcije: žvakanje, govor, pa čak i samopouzdanje.
U našoj ordinaciji pružamo vam savremena protetska rješenja – estetski savršena i funkcionalno stabilna, kako biste ponovo s lakoćom uživali u svakodnevnim trenucima.
Bilo da je u pitanju jedna krunica, cijeli most ili totalna proteza – za vas ćemo kreirati rješenje koje će vam prirodno pristajati i omogućiti vam da se opet smijete bez zadrške.
Dajte prioritet zdravlju vaših zuba
Kontakt:
Dajte prioritet zdravlju vaših zuba
Kontakt:
Koja protetska rješenja nudimo?
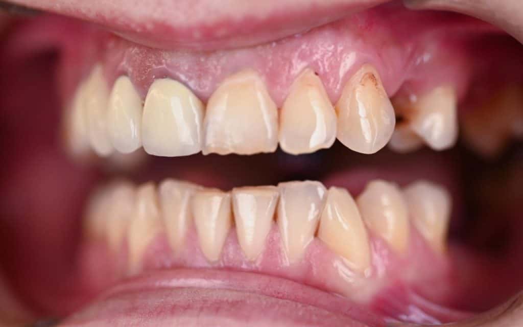
Zubne krunice (metalokeramičke i cirkon-keramičke)
- Nadoknada oštećenog ili estetski narušenog zuba
- Zaštita zuba nakon liječenja korijena
- Potpuno prirodan izgled (posebno cirkon-keramičke)
- Visoka otpornost i trajnost
Zubni mostovi
- Nadoknada nedostajućeg zuba između zdravih zuba
- Estetski i funkcionalno stabilno rješenje
- Ne moraju se vaditi za održavanje
- Prirodan izgled i osjećaj
Totalne i parcijalne proteze
- Kada je izgubljen veći broj zuba
- Savremene, estetski prirodne proteze koje su lagane i udobne za nošenje
- Mogućnost kombinacije sa implantatima (implantat-nošene proteze)
- Povratak funkcionalnosti žvakanja i estetike osmijeha
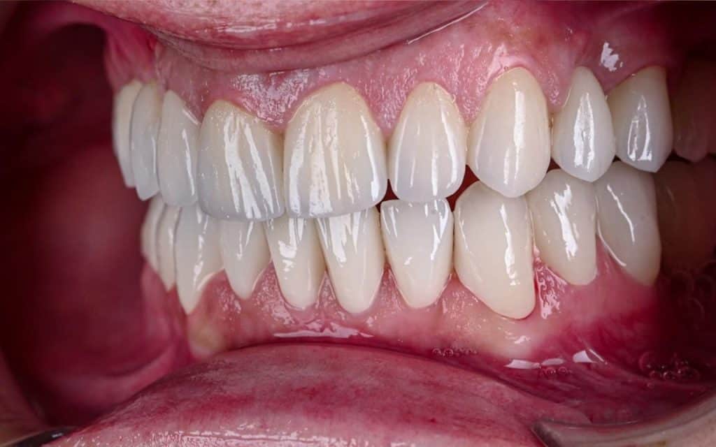
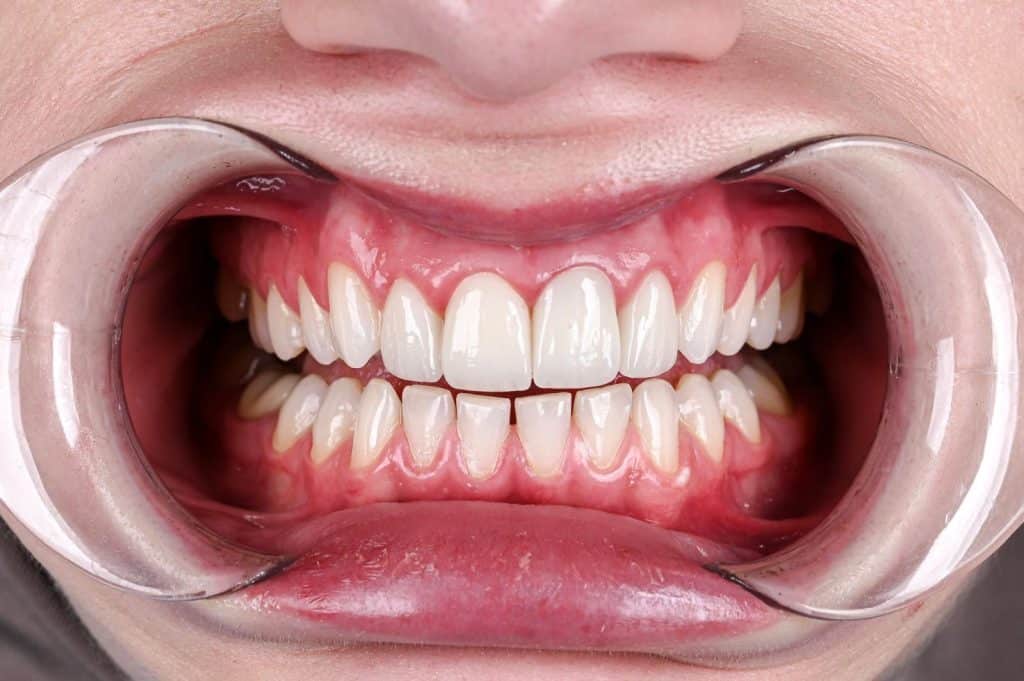
Neki od naših protetskih radova
- Cirkon keramicke navlake
- Metalokeramičke navlake
- Cirkon keramičke navlake
- Cirkon keramičke navlake
Kako izgleda proces?
Konsultacija i dijagnostika
Detaljan pregled, analiza i planiranje rješenja
Priprema zuba / vilice
Po potrebi, liječenje i priprema nosača (za krunice i mostove)
Uzima se otisak / digitalni sken
Izrada individualnog rada (krunice, mosta ili proteze)
Proba i finalna ugradnja
Usklađivanje i fino podešavanje za potpunu udobnost i estetiku
Prednosti moderne protetike
Prirodan izgled – individualno prilagođeno boji i obliku vaših zuba
Visoka preciznost – digitalno planiranje i izrada
Dugotrajnost – korištenje visokokvalitetnih materijala
Povratak samopouzdanja – slobodno govorite, jedete i smijete se
Često postavljena pitanja
Da li se vidi da nosim protezu?
Savremene proteze izgledaju vrlo prirodno. Naš cilj je da se proteza ne primijeti.
Da li ću moći normalno jesti?
Da, nakon perioda prilagođavanja, proteze i mostovi omogućavaju normalno žvakanje.
Implantat-nošene proteze daju još veću stabilnost.
Koliko traju zubne krunice?
10+ godina, uz redovne kontrole i pravilnu njegu. Cirkon-keramičke često i duže.
Da li ugradnja krunica boli?
Ne, radi se pod lokalnom anestezijom, bezbolno.
Koliko traje proces?
U prosjeku 7-14 dana (ovisno o složenosti slučaja).
Dr Mirnesa Šerifović - DMD Vlasnica i osnivačica stomatološke ordinacije
Dr Mirnesa Šerifović je posvećena pružanju savremene, stručne i individualizirane dentalne njege. Kroz godine intenzivnog obrazovanja i praktičnog rada, izgradila je prepoznatljiv stil temeljen na profesionalizmu, preciznosti i toplom odnosu prema pacijentima. Nagrađena je titulom Najboljeg studenta generacije, a svoje znanje i vještine kontinuirano usavršava u zemlji i inostranstvu. U svojoj ordinaciji nastoji spojiti najnovija dostignuća stomatologije s personaliziranim pristupom, stvarajući iskustvo u kojem se svaki pacijent osjeća sigurno, shvaceno i motivisano za očuvanje zdravlja svog osmijeha.
Dajte prioritet zdravlju vaših zuba
Kontakt:
Dajte prioritet zdravlju vaših zuba
Kontakt:
Želite vratiti funkcionalnost i ljepotu vašeg osmijeha?
Kontaktirajte nas i otkrijte koje protetsko rješenje je idealno za vas.
- +387 61 898 524 (WhatsApp & Viber)
- info@drserifovic.ba