Dr Mirnesa Šerifović – Stomatološka ordinacija

Myobrace tretman

Myobrace u Sarajevu - MySmile

Rani, nježni ortodontski tretman koji uklanja uzrok krivih zuba, poboljšava
disanje i može smanjiti potrebu za fiksnim aparatićima u budućnosti.
• Fokus na uzrok, ne samo na položaj zuba
• Uklonjiv aparat – bez žica i agresivnih pritisaka
• Idealan za djecu od 3 do 15 godina

Zašto zubi kod djece postaju krivi?

Krivi zubi nisu slučajnost.

U većini slučajeva, problem ne počinje u zubima – već u lošim oralnim navikama.
Najčešći uzroci:

• disanje na usta umjesto kroz nos
• nepravilan položaj jezika
• nepravilno gutanje
• nedovoljno razvijena vilica

Ako se uzrok ne riješi na vrijeme, zubi često nemaju dovoljno prostora za pravilan rast
– čak i nakon klasičnog aparatića.

Myobrace pristup ide korak unazad i rješava zašto problem uopšte
nastaje

Šta je zapravo Myobrace sistem?

Myobrace® je pre-ortodontski sistem koji pomaže pravilnom razvoju vilice i zuba kod djece dok još rastu.

Za razliku od klasičnih aparatića koji samo pomjeraju zube, Myobrace:

Uči dijete pravilnom disanju (kroz nos)

Postavlja jezik u ispravan položaj

Omogućava vilici da se razvije prirodno

Stvara prostor da zubi sami rastu pravilnije

Aparat je uklonjiv

Nosi se 1–2 sata dnevno

Nosi se tokom spavanja

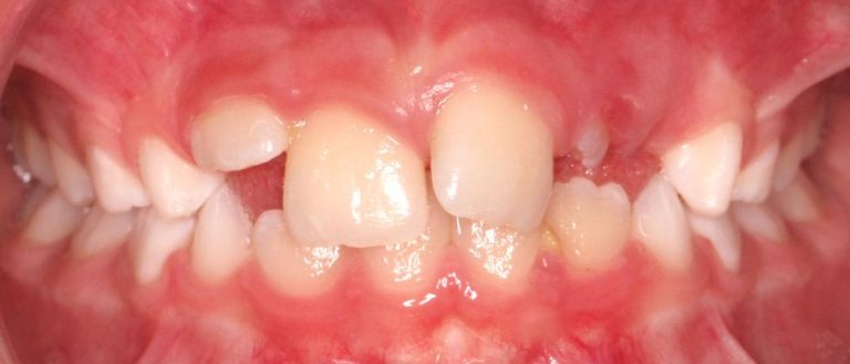
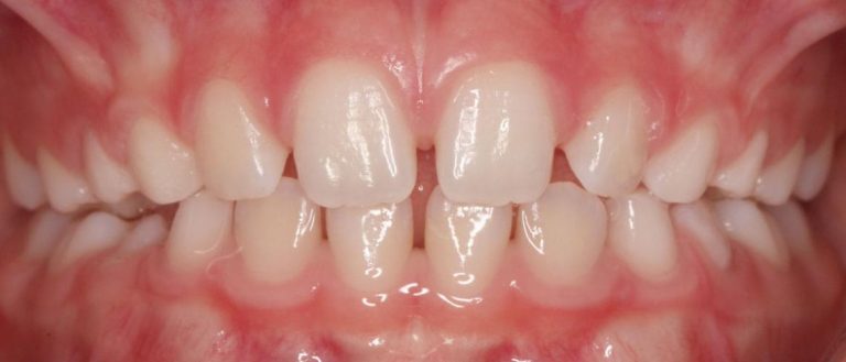
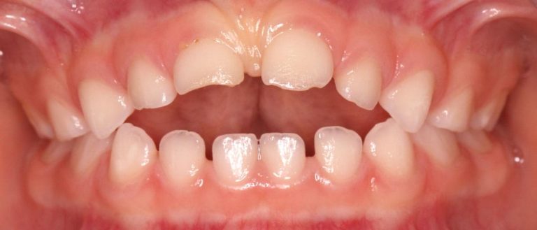
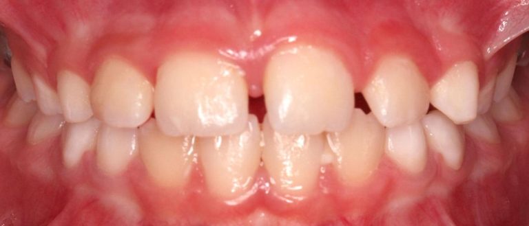
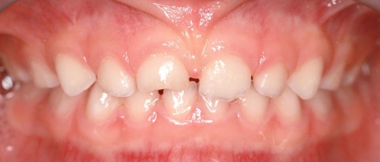
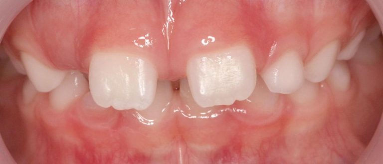
Rezultati Myobrace tretmana

Before After
Before After
Before After

Kako funkcioniše Myobrace tretman?

1
Ispravka loših navika

Uči dijete pravilnom disanju (kroz nos)

2
Razvoj vilice

Vilica se postepeno razvija i širi, stvarajući prostor za zube.

3 (3)
Prirodno poravnanje zuba

Zubi se usmjeravaju u pravilniji položaj bez agresivnog pomjeranja.

4
Stabilizacija rezultata

Pravilne navike se zadržavaju, a rezultat postaje dugoročan.

Upravo ova struktura je razlog zašto Myobrace može smanjiti ili čak eliminisati potrebu za fiksnim aparatićima kasnije.

Za koga je Myobrace tretman?

Myobrace je dobar izbor ako dijete:

Ima krive ili zbijene zube

Diše na usta

Često drži usta otvorena

ima probleme s govorom ili gutanjem

Idealna dob: od 3 do 15 godina
Što se ranije krene – rezultat je bolji i jednostavniji

Uradite procjenu i saznajte da li je
Myobrace pravo rješenje

Česta pitanja (FAQ)

Da li je Myobrace zamjena za fiksni aparatić?

Ne uvijek, ali u mnogim slučajevima može značajno smanjiti potrebu za fiksnim aparatićem ili učiniti kasniji ortodontski tretman kraćim i jednostavnijim.

Myobrace je namijenjen djeci od otprilike 3 do 15 godina.
Najbolji rezultati se postižu kada se krene što ranije, jer je vilica još u razvoju i lakše se usmjerava prirodan rast.

Aparat se nosi:

1–2 sata tokom dana

tokom spavanja noću

Ključ uspjeha je redovno nošenje i saradnja djeteta, uz praćenje u ordinaciji.

Ne. Myobrace je nježan i uklonjiv aparat koji ne koristi žice ni agresivne pritiske kao klasični fiksni aparatići.
Većina djece se brzo navikne na nošenje.

Da. Myobrace se skida tokom jela, a govori se normalno dok nije u ustima.
Tokom nošenja, dijete se postepeno navikava, a govor se prirodno prilagođava.