Dr Mirnesa Šerifović – Stomatološka ordinacija

Pjeskarenje i poliranje zuba

Za savršeno čiste i glatke zube

Iako svakodnevno perete zube, s vremenom se na njima mogu pojaviti mrlje od kafe, čaja, cigareta i hrane.

Zato je tu pjeskarenje i profesionalno poliranje zuba — tretman koji u samo 20 minuta uklanja površinske pigmentacije i vraća zubima njihov prirodni sjaj.

Dajte prioritet zdravlju vaših zuba

Kontakt:

Dajte prioritet zdravlju vaših zuba

Kontakt:

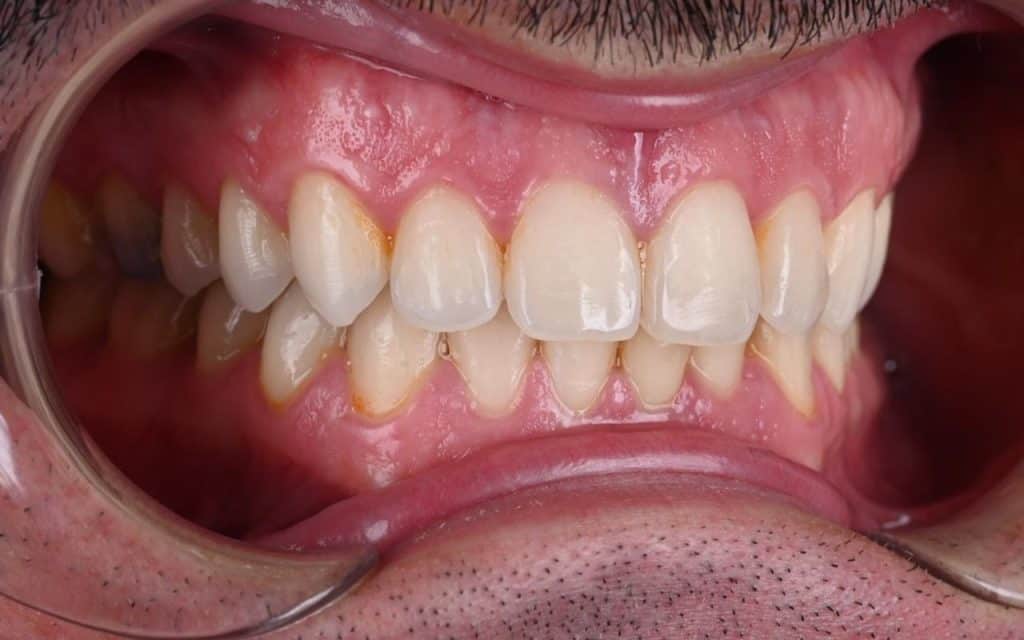
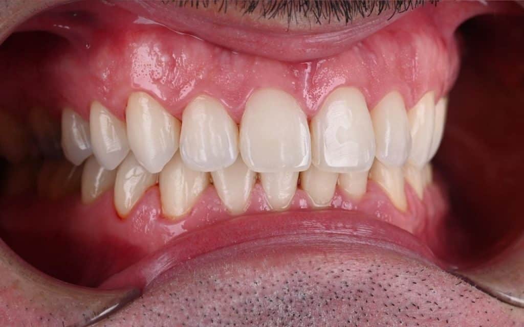
Prije Poslije

Prije i poslije pjeskarenja (Air Flow) zuba.

Šta je pjeskarenje zuba?

Pjeskarenje je bezbolan i brz postupak uklanjanja naslaga i pigmentacija pomoću mlaza sitnog praha (najčešće natrijum bikarbonata ili glicina) u kombinaciji s vodom i zrakom.

Savršeno je rješenje za:

Šta je profesionalno poliranje?

Nakon pjeskarenja, zube dodatno poliramo finim pastama kako bi:

Koliko traje i da li boli?

Tretman traje oko 15-20 minuta

Potpuno je bezbolan i siguran

Preporučuje se 2 puta godišnje ili prema preporuci stomatologa

Cijena

kompletan tretman pjeskarenja i poliranja
60 KM
  • Estetski ljepši osmijeh već nakon jedne posjete
  • Nema štetnog djelovanja na zubnu gleđ
  • Idealna priprema za izbjeljivanje zuba
  • Osjećaj svježine i čistoće u ustima

Dr Mirnesa Šerifović - DMD Vlasnica i osnivačica stomatološke ordinacije

Dr Mirnesa Šerifović je posvećena pružanju savremene, stručne i individualizirane dentalne njege. Kroz godine intenzivnog obrazovanja i praktičnog rada, izgradila je prepoznatljiv stil temeljen na profesionalizmu, preciznosti i toplom odnosu prema pacijentima. Nagrađena je titulom Najboljeg studenta generacije, a svoje znanje i vještine kontinuirano usavršava u zemlji i inostranstvu. U svojoj ordinaciji nastoji spojiti najnovija dostignuća stomatologije s personaliziranim pristupom, stvarajući iskustvo u kojem se svaki pacijent osjeća sigurno, shvaceno i motivisano za očuvanje zdravlja svog osmijeha.

Dajte prioritet zdravlju vaših zuba

Pozovite:

Dajte prioritet zdravlju vaših zuba

Kontakt:

Želite da vaš osmijeh zablista bez izbjeljivanja?

Tretman pjeskarenja i poliranja je savršen prvi korak.